動脈管開存

「動脈管開存」という病気は、多くの場合、あまり重症感のない病気です。

普通に走り回っていて、全然しんどそうな気配もないのに治療が必要だと言われ、なかなか納得できない病気なのではないでしょうか。

動脈管という管は、左に示すように、大動脈と肺動脈につながっている血管です。実はこの血管は、お母さんのお腹の中にいる間は、すべての赤ちゃんに存在している血管なのです。

普通は、生まれると数時間から数日で閉じてしまいます。

これが閉じずに残ってしまった病気が、「動脈管開存」という病気です。

予定日よりも早く未熟児として生まれてきた場合や他の心臓病(心室中隔欠損など)と合併した場合は、この管がすごく太いことがあります。この場合は、肺に血が大量に流れ込み、息がしんどくなってミルクが飲めない、という症状が出ることがあります。この場合はすぐに手術をしたり、コイルを詰めるカテーテル治療を行ったりします。

管があまり太くないこともあります。この場合は症状が出ません。けろっとしていて、普通の子となんらかわりがありません。

この場合でも、聴診器を当てて心雑音という、動脈管を流れるゴーッゴーッという音が聞こえる場合は、手術、もしくは最近はコイルを詰めるカテーテル治療が行われています。

なぜ治療が必要なのかというと、動脈管から吹き出すジェットのために、肺動脈の壁が傷ついてしまうことがあるのです。

そうすると、そこに細菌がへばりついて、熱の原因になったりします。「細菌性心内膜炎」という病気ですが、これは非常に治療に難渋するやっかいな病気で、何ヶ月も治療が必要だったり、それでも治らない場合は、手術をすることさえある大変な病気なのです。

これを「予防する」ことが、「動脈管開存」という病気を治療する理由です。

昔は、手術しか選択枝がありませんでしたが、最近になって、コイルで動脈管を閉塞させてしまうカテーテル治療が一般的になってきました。

「動脈管」の形や太さによって、カテーテル治療ができない場合もありますが、カテーテル治療のメリットは、傷がほとんど残らないということでしょう。足の根本、鼠径部に、数カ所の傷を作りますが、一ヶ月もするとほとんどわからなくなってしまいます。大がかりな全身麻酔が不要で、本人の負担も少ない点もメリットだと思います。

デメリットとしては、コイルを詰める際に肺動脈や大動脈側に落っこちてしまうなどの事故の可能性がありますが、これは道具と技術の進歩であまり問題ではなくなってきていると思います。また現時点では金属のコイルを使って詰めるので、将来胸に病気ができたときに、MRIなどの検査に支障が出る可能性があります。

手術にもメリット、デメリットがあります。どちらの治療を選択するかは、動脈管の形、太さによってもかわってきますので、よくよく主治医の先生の話を聞いて決めるべきだと思います。

時代の流れとしては、動脈管はカテーテル治療で治す方向になってきていると思います。特に女の子の場合は、小さくて目立たないとはいえ、体に手術の跡を残さずすむというメリットは大きいのではないでしょうか。

実際の動脈管。体の左側からみた写真。

2つのコイルで動脈管を詰めたところ。

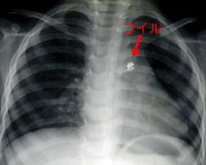
治療後の胸部レントゲン写真

 

検索サイトなどから直接このページに来られた場合,
フレームが正常に表示さず,タイトルやリンクが表示されません.
その場合はこちらを押してください